
当院では、義歯(入れ歯)をいれようかと迷われている方のご相談を受付けております。
歯を失ってしまい、食事が美味しく取れないなど、悩んでいらっしゃる方も、義歯(入れ歯)で大きく改善されています。
また、失ってしまった歯をそのまま治療せずに放置しておくと、歯の全体のバランスが崩れてしまい、他の歯の噛み合わせも悪くなってしまう危険性があります。治療をご検討の方も、お気軽にご相談ください。

このようなお悩みはございませんか?
少しでも違和感を感じる義歯(入れ歯)は、患者様のお口に合っていない可能性があります。
合わない義歯は身体に悪い影響を与えてしまうことがあります。
義歯について気になることがございましたら、お気軽にご相談ください。
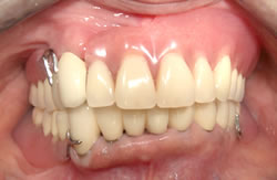
K様は、歯を失ってしまい、十分に食べ物を噛むことができないために、食事をするのが大変でした。
義歯をお作りになりたいということで、K様のご友人のご紹介により、当院へご来院されました。

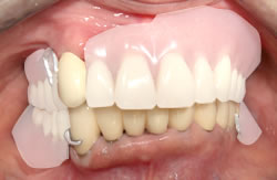
![]()
![]() |
| 白い部分が義歯になっています |

上下の義歯は、保険外の義歯です。
保険外義歯は、患者様のお口にあった義歯をお作りすることができ、装着感に大変優れています。
K様より、「食事のときに、ちゃんと噛めるようになって嬉しい。」とのお言葉を頂きました。
これからは、定期検診などでご来院頂き、良いお口の状態が保てるようにしていきます。
保険が適用できる、比較的安価な義歯です。
![]() プラスチック製の義歯床 |
![]() 残った歯に金具を庄着する |
より高性能で、快適な付け心地を追求した義歯です。
義歯のストレスを最小限に、患者様お一人おひとりに合った微妙な調整が可能です。
![]() メリット |
メリット |
![]() メリット |
| ・薄くて軽い ・使い心地が良く外れにくい ・食物の温度をより感じられる |
・薄くて軽い ・ばねが無いので見た目が良い ・他の歯に負担をかけにくい |
必要最低限のインプラントを 入れることで、それを土台と した動きにくい義歯が作れる |
私たちは、患者様が、良い義歯(入れ歯)で美味しく食事をができるようになったり、義歯のストレスなく毎日を過ごせるようになることが、義歯を作る上でとても大切なことだと思っております。
義歯をお作りする際は、しっかりと歯型どりをして、付け心地のよい義歯になるように、患者様と調整を行いながら診療を行います。義歯が完成したあとも、定期的にメンテナンスを行い、よい状態が保てるようアフターケアの体制を整えております。
義歯のことや、お口の中のことでお困りのことがございましたら、ぜひ一度ご相談ください。


〒369-0305
埼玉県児玉郡上里町神保原 311-1
JR高崎線 神保原駅より徒歩3分