
「インプラント」と聞いて、皆さまはどのようなイメージをお持ちでしょうか。インプラントは最新の治療法と聞くけれど、しっかり治療できるのかが心配、というイメージを持たれる方もいらっしゃるかと思います。
当院では、「痛くない・安心で安全」な治療を第一に考えて、しっかりと治療前のカウンセリングを行い、徹底した衛生管理の中で治療をいたしますので、安心して治療を受けて頂くことができます。インプラント治療は、歯を失ってしまった方の最適な治療法のひとつであり、当院では多くの患者様が治療されております。
![]()
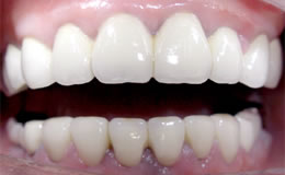
当院にて、インプラント治療を含め、全体的に歯を治療された患者様です。
失ってしまった歯をインプラントにして、残っている歯を生かす治療を行いました。
![]() 治療後 |
![]() 治療後 X-ray |
| 見た目、機能性も大変良くなりました | 枠内はインプラント治療された部分です |
インプラントがしっかりと機能するように、ステップを踏んで治療を行っていきます。

![]()
インプラントを顎の骨に埋め込み、インプラントが顎の骨と生着するのを待ちます。(約3か月) ※個人差あり

![]()
埋め込んだインプラントを局部麻酔で歯肉を開いて、
人工歯と取り付ける土台(アバットメント)を装着します。

![]()
歯列の型どりをして、インプラントに人工歯を装着します。これでインプラント治療が終了になります。
今後は定期検診などでメンテナンスを行っていきます。

インプラントはチタンを主成分としており、生体親和性が良く、
体に対して最も安全な材質といわれております。
そのチタン製の人工歯根と歯肉の内部の骨が、約3か月程度で直接結合するため、失ってしまった歯と同様な歯が再現できる、画期的な治療法です。
術前には、CT撮影等の診査・診断を行い、患者様によく説明をさせて頂き、安全に行います。治療中は局部麻酔をかけるため、痛みを感じることはございませんのでご安心ください。
当院のインプラント治療は、2種類の素材のインプラントを患者様の症状に合わせて、使い分けております。
1つは、「チタン製」インプラントで、既存骨に埋入する、
”オッセオインテグレーション”という方法を用います。
2つめは、「ハイドロキシアパタイト(略:HA)」の素材を使用したインプラントです。”バイオインテグレーション”という方法を用いて、骨になりにくい部分や、早期に骨を生成させたい時になどに有効的です。
どちらの素材にしても、生体に安全な素材・治療法ですので、
安心して治療を受けて頂くことができます。

インプラント治療はもちろんのこと、全ての治療前に患者様の治療に対する不安を残さないように努めております。
患者様がしっかりとインプラントについて熟考いただき、ご納得されてから、はじめて治療を開始いたします。インプラント治療後は、特に丁寧なセルフケアと、定期的なメンテナンスが大変重要となります。
まずは、患者様のお口の状態を診させて頂き、患者様にとって、一番良い治療法を考えていきましょう。インプラント治療をご検討されている方、ご興味のある方はぜひ一度ご相談ください。


〒369-0305
埼玉県児玉郡上里町神保原 311-1
JR高崎線 神保原駅より徒歩3分